Ve fakultní nemocnici v Brně používají revoluční metodu operace dolní končetiny u dětských pacientů s vrozeným pakloubem bérce. Před dvěma lety začali lékaři dětské ortopedie tímto způsobem léčit první pacienty. Metodu převzali od kolegů ze Spojených států, kde ji vyvinuli a použili poprvé. V Brně už úspěšně odoperovali deset pacientů.
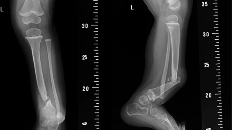
V České republice přijde na svět jedno až tři děti s pakloubem bérce ročně. Dítě se rodí buď se zlomenou holenní kostí, nebo s deformitou a ke zlomenině dochází až po narození, často ještě v prvním roce života. Pokud se jednou holenní kost zlomí, konzervativní zhojení je prakticky nemožné.
S tímto vzácným onemocněním přišli na svět i dnes čtyřletý Mikuláš a tříletá Antonie. Obě děti mají za sebou operaci v brněnské fakultní nemocnici. Díky nové metodě a speciálnímu implantátu, který s pacientem roste, mohou chodit a běhat téměř jako ostatní.
„Ještě před čtyřmi měsíci byl na operaci na vyndání dlahy a dnes jsme se zbavili ortézy a poprvé může chodit bez ní,“ popisuje Mikulášova matka. „Je to úleva a obrovské štěstí. S tím, že jsme s tím byli seznámeni velmi záhy, měl člověk klid, že to jde vyřešit,“ říká matka malé Antonie.
Dřív musely děti podstoupit až 12 operací
Dosud lékaři děti léčili různými operačními postupy. V průměru prodělaly v dětství až dvanáct zákroků. Úspěšnost byla ale jen padesát procent, nezřídka situace končila amputací nebo zcela nefunkční končetinou.
„Zákrok trvá okolo pěti hodin, kdy se zavede kovový implantát do dřeňové dutiny kosti. Ten je v horní části bérce fixován závitem, v dolní drátkem. Tím, že je kovový implantát fixován nad a pod růstovými zónami bérce, kost může růst a implantát víceméně roste s pacientem,“ vysvětlil Karel Urbášek, vedoucí ortoped Kliniky dětské chirurgie, ortopedie a traumatologie FN Brno.
Pro úspěšné spojení holenní a lýtkové kosti je nutné odebrat pacientovi veškerou kost z vnitřku jedné poloviny pánve, ta se v průběhu šesti až dvanácti týdnů po operaci plně obnoví. Metoda umožňuje pacienta operovat už v 18 měsících, dříve používané postupy umožňovaly operaci až ve třech nebo čtyřech letech. Dítě přitom až do operace nemůže samo chodit.
Zákrok provádí jen několik pracovišť na světě. V brněnské nemocnici už úspěšně odoperovali deset pacientů. Pokud budou kontroly v pořádku a nedojde k dalším komplikacím, budou moci vést všechny děti plnohodnotný život.










