Přibývá případů kapavky, která je odolná vůči dostupným antibiotikům. Vědci a lékaři se pokoušejí najít co nejrychleji alespoň provizorní řešení. Před odolností bakterií varuje i Světová zdravotnická organizace (WHO), podle níž je to vůbec největší medicínské nebezpečí současnosti.
V únoru zdravotníci ve Velké Británii oznámili, že se tam nedávno tři lidé nakazili kapavkou, asi nejznámější pohlavně přenosnou nemocí. To by nebylo tak zajímavé, důležité ale bylo, že se jednalo ve všech třech případech o kmen této bakterie, který je extrémně odolný vůči antibiotikům.
Jde o další příklad toho, jak rychle lidstvo přechází do doby „postantibiotické“ a jak není schopné vést souboj s rychle se měnícími bakteriemi.
Varovná čísla
Zatímco ještě před několika lety byly bakteriální nemoci snadno léčitelné antibiotiky, postupně se účinnost těchto léčiv proti celé řadě kmenů bakterií snižuje a současně přibývá úmrtí na tyto „suberbakterie“. Například roku 2019 už připravily o život asi 1,27 milionu lidí po celém světě, což bylo víc než jakákoliv bakterie sama o sobě. Jako u všech infekčních nemocí je ale i toto číslo „podreportované“, takže počet úmrtí je zřejmě mnohem vyšší. Zatím nejpřesnější odhad přinesl nedávno odborný žurnál Lancet, podle něhož mohou infekce neléčitelnými bakteriemi asi za pět milionů úmrtí ročně.
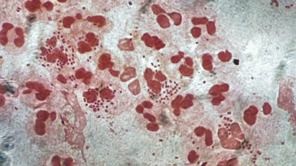
- Kapavka patří mezi nejrozšířenější sexuálně přenosné nemoci na světě. Onemocnění má obvykle charakter hnisavého zánětu sliznic vylučovacích a pohlavních orgánů, někdy také může zasáhnout konečník, hltan, nebo spojivky v očích.
Problémem těchto bakterií je, že se nejčastěji objevují u lidí, kteří už trpí jinými nemocemi – nakazí se jimi často v nemocnicích. Právě tam se totiž nejvíc používají léky, které bakterie nutí, aby si vyvinuly odolnost proti antibiotikům. Současně tam je spousta nemocných lidí s širokým spektrem chorob, jež se mohou šířit.
Kapavka má potenciál šíření
Kapavka je na rozdíl od jiných superbakterií široce rozšířená po celém světě – jde zhruba o 82 milionů nakažených ročně, v Česku se počet nákaz pohybuje kolem šestnácti set.
Podle amerického Centra pro kontrolu a prevenci nemocí (CDC) si kapavka postupně vyvinula rezistenci vůči antibiotikům předepisovaným k její léčbě. Poté, co získala vlastnosti umožňující jí odolávat fluorochinolonům, začala se k její léčbě využívat dvě léčiva – azitromycin a ceftriaxon. Bohužel už přes deset let se objevuje spousta případů, kdy část nakažených není azitromycinem léčitelná, proto se využívala kombinovaná léčba oběma látkami.
První případy kapavky odolávající i této kombinované léčbě se objevily roku 2018, nejprve v Anglii a pak v Austrálii. Epidemiologové, kteří se pokoušeli zjistit původ nákazy, ji odhadují na jihovýchodní Asii a předpokládají spojení se sexuální turistikou.
Pohlavně nakažlivé choroby jsou ale pro pacienty natolik citlivé téma, že se vědci potýkají se zatajováním informací nebo uváděním informací nepravdivých. Je tedy možné, že v těchto zemích se už rezistentní kapavka dávno masivněji šíří, jen se tam tento fenomén dostatečně nesleduje.
Varovná zpráva
Kapavka byla i mezi lékaři a vědci dlouho pokládaná za nepříliš nebezpečnou, ale postupně přibývalo náznaků, že její riziko je podceňované. „Bakterie způsobující kapavku jsou výjimečně chytré. Pokaždé, když na ně použijeme jiný typ antibiotik, tak se vyvinou, aby jim příště odolaly,“ varovala už roku 2016 Teodora Wiová z WHO.
„Tyto případy ale mohou být jen vrcholem ledovce, protože systémy diagnózy infekcí špatně fungují v chudších zemích, a právě tam je kapavka nejrozšířenější,“ dodala. Současně upozornila, že pokud by se rezistentní kapavka rozšířila, mohlo by na světě ročně zemřít až o tři sta tisíc lidí více.
Před rokem vyšla v odborném žurnálu Lancet zpráva expertů ze Světové zdravotnicé organizace, podle níž asi polovina všech případů kapavky v roce 2020 byla rezistentní vůči alespoň jednomu antibiotiku, obvykle azitromycinu.
V důsledku toho CDC a další organizace přestaly pacientům s nekomplikovanou kapavkou doporučovat od prosince užívání azitromycinu. Nyní zůstává jedinou možností ceftriaxon, a to ve vyšší dávce než dříve. Shodou okolností v USA lékaři zaznamenali ve stejný měsíc první známý případ kmene kapavky, který měl mutaci spojenou s odolností na tento lék.
Řešení zatím neexistuje
WHO volá po rychlém vývoji nových antibiotik, která by mohla posílit poslední obranný val, který se nyní bortí. Ve vývoji jsou zatím pouhá čtyři taková léčiva. Hlavní příčinou je fakt, že antibiotika nejsou pro velké farmakologické korporace velkým zdrojem příjmů – lidé je užívají jen krátce a lékaři by je měli předepisovat co nejméně.
I případná nová antibiotika jsou ale jenom dočasným řešením, je totiž prakticky jisté, že si bakterie jednou vybudují odolnost i proti nim. Ideální by tedy podle WHO bylo, aby vzniklo očkování proti kapavce, v současné době ale nic takového neexistuje.
Cílem je snížit výskyt této nemoci do roku 2030 o devadesát procent, vakcína je jedinou realistickou možností. Jako zatím největší naděje se jeví meningokoková vakcína 4CMenB, která je proti kapavce účinná asi na čtyřicet procent. Vloni pak navíc stejný tým Oxfordské univerzity, který vyvinul vakcínu proti covidu-19, oznámil práci na vlastním přípravku proti kapavce.










