Nemoc šílených krav je výjimečně složitá choroba, která na přelomu tisíciletí způsobila obrovské problémy zemědělcům, ale i běžným konzumentům masa. U člověka totiž může způsobit smrtelnou Creutzfeld-Jakobovu chorobu. Aktuální případ hlásí Polsko: atypickou formu nemoci objevili v uplynulých dnech poblíž hranice s Českem, zvíře bylo utraceno.
Původcem nemoci šílených krav jsou takzvané priony, což jsou infekční částice tvořené jen bílkovinami. Až donedávna o nich věda nic nevěděla, poprvé je pořádně popsal až roku 1982 Stanely Prusiner, který za to dostal Nobelovu cenu.
Přitom priony způsobovaly problémy už dávno; před stovkami let a možná ještě v dávnější minulosti. První nemocí, za kterou priony mohly, byla takzvaná skrapie neboli klusavka. Chovatelé ovcí v Anglii si na začátku osmnáctého století všimli, že některé z ovcí si nejprve začínají škrábat vlnu a pak ztrácí rovnováhu. Nemoc se ale nikdy nepřenesla na lidi, takže ji lékaři většinu času ignorovali.
Problémy s priony se objevily také na druhé části naší planety – konkrétně na Nové Guineji. Tam se mezi místními kanibaly kmene Fore objevovala choroba jménem kuru. Dostávali ji jen kanibalové, kteří rituálně pojídali mozky zemřelých osob, nejčastěji svých předků. Tuto chorobu objevil americký lékař Carleton Gajdusek, jehož jméno naznačuje, že šlo o potomka slovenských imigrantů. Za tento objev dostal Nobelovu cenu, a to přesto, že příčinu nemoci určil špatně. Nemoc už dnes neexistuje, zmizela poté, co křesťanští misionáři kanibalismus vymýtili.
Tato choroba zasáhla jen minimum lidí; o něco větším problémem se stala Creutzfeld-Jakobova choroba. Tu popsali němečtí lékaři mezi dvěma světovými válkami a stále proti ní neexistuje lék. Nejčastěji se projeve v těsně předdůchodovém věku a do necelého roka přináší smrt. Naštěstí je velice vzácná, objevuje se přibližně u jednoho člověka z milionu.
Všechny nemoci způsobované priony mají podobný průběh: nejprve se u člověka zhoršuje koordinace pohybu, přicházejí poruchy s pamětí a zraku. Postupně přibývají další symptomy jako demence, neovladatelné pohyby, změny chování. V posledních fázích života je mozek už natolik poškozený, že přichází slepota, slabost a kóma následované smrtí.
Problematické priony
Priony jsou velmi podivné. Vznikají z takzvaných prionových proteinů, které mají všichni savci – a tedy i člověk. Jde o běžnou součást řady buněk v lidském těle a jsou zodpovědné za vnitřní hodiny savců. Tvoří je vlákno bílkoviny, které se může různým způsobem stáčet a získává tím různé schopnosti.
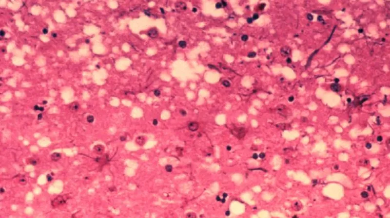
Jenže někdy se může prostorově nastavit špatně; a pak může způsobovat problémy. Takto zašmodrchané priony se hromadí v tkáni a způsobují její degeneraci. V mozku získává tkáň typicky houbovitou podobu – právě podle ní se těmto prionovým nemocem říká spongiformní (houbotvará) encefalopatie.
Britská tragédie
Lidstvo se o prionech a spongiformních chorobách dozvědělo v osmdesátých letech dvacátého století. Tehdy média začala psát o nemoci šílených krav. Objevovala se u skotu, který měl podobné příznaky jako ovce u skrapie, ale také někdy zažívaly záchvaty agresivity. Nemoc dostala odborný název BSE – bovinní spongiformní encefalopatie.
Velmi rychle se ukázalo, že krávy, které jí trpí, mají jedno společné: všechny byly krmené masokostní moučkou pocházející z těl mrtvých ovcí. Ty mnohdy uhynuly právě na výše uvedenou skrapii, a protože se priony špatně ničí, přenesly se na krávy.
Normální teploty, které zabíjí běžné člověku nebezpečné organismy, na priony nestačí. Jsou těžko zničitelné, nelze je všechny zlikvidovat ani při teplotě vyšší než 135 stupňů Celsia. Dokonce se některé priony udržely i v mase, které bylo po celou hodinu vystaveno teplotě 360 °C. Priony zůstávají i po třech letech na místě zetlelých těl krav.
Bohužel se ukázalo, že z krav se mohou priony přenést i na další článek potravního řetězce – na člověka. Ani lidské ochranné mechanismy na priony nestačily, takže několik desítek lidí se nakazilo novou variantou Creutzfeld-Jakobovy choroby (neboli nvCJD). Ta už nepostihovala šedesátníky, ale i mnohem mladší lidi. A ani proti ní neexistuje lék.
V roce 1988 sice zakázala britská vláda používání masokostní moučky pro krmení dobytka, to už ale bylo pozdě. V roce 1995 zemřel na nvCJD první pacient, v roce 1996 oznámil britský ministr zdravotnictví novou formu onemocnění mozku a Evropská unie vydala zákaz exportu britského hovězího masa.
Do roku 2000 zemřelo na nvCJD 84 osob v Anglii a pět ve Francii.
Česká republika je podle expertů před BSE celkem bezpečná. „Od roku 1962 jsou při výrobě masokostní moučky zpracovávána těla uhynulých zvířat za velmi vysokých teplot (důvodem je ničení odolných baktérií, například spor antraxu). Priony tomuto způsobu výroby masokostní moučky neodolají. Jsme tedy v úplně jiné situaci než Britové, kteří vyráběli masokostní moučku postupem nenarušujícím priony. Navíc se u nás skot masokostní moučkou nikdy příliš nekrmil a v současné době je to přísně zakázáno,“ uvádí biolog Jaroslav Petr.
V pondělí se objevila zpráva o nemoci v Polsku
V pondělí informovala Světová organizace pro zdraví zvířat (OIE) s odvoláním na polské ministerstvo zemědělství o tom, že Polsko ohlásilo případ atypické formy takzvané nemoci šílených krav na farmě poblíž hranice s Českou republikou.
Případ se podle mezinárodní organizace objevil ve městě Mirsk, které leží zhruba třicet kilometrů severovýchodně od Liberce. Jak napsala agentura Reuters, nakažené zvíře bylo utraceno.
„Jedná se (v Polsku) o atypickou formu BSE, která se vyskytuje spontánně ve všech populacích skotu ve velmi nízké míře, zejména u starších věkových kategorií. Její výskyt není způsoben zkrmováním masokostní moučky jako u klasické formy BSE,“ řekl mluvčí Státní veterinární správy Petr Vorlíček.
Předloni se v Evropské unii vyskytlo šest takových případů – ve Španělsku, Francii a Irsku, klasická forma BSE se tehdy nevyskytla. Loni byl jeden záchyt klasické BSE, a to ve Velké Británii, údaje o atypické formě zatím veterináři nemají.
V mase ani v mléce se virový původce choroby podle Vorlíčka nenachází, jejich konzumace je tak bezpečná. „Takzvaný specifikovaný rizikový materiál, který bývá spojován s rizikem nakažení lidí takzvanou Creutzfeldt-Jakobovou nemocí – tedy u skotu lebka, kromě čelisti včetně mozku, očí a míchy zvířat starších 12 měsíců – ze všech poražených zvířat se v Česku od roku 2000 odstraňuje na jatkách nebo bourárnách masa. Následně je neškodně odstraněn v asanačním podniku,“ dodal mluvčí.








