U mořských ptáků vědci objevili novou nemoc, kterou způsobují výhradě plasty. Ptáci, u kterých se takzvaná plastikóza projevila, měli od spolykaného odpadu zjizvený trávicí trakt, píše britský The Guardian s odvoláním na badatele z londýnského Přírodovědného muzea. Jde o první doložený příklad fibrózy vyvolané výhradě plasty.
Podle zprávy zveřejněné v Časopisu pro nebezpečné látky se stává znečištění plasty natolik rozšířeným, že se zjizvení objevuje u různých věkových skupin ptáků. Tímto onemocněním trpí už mladí ptáci a vědci předpokládají, že je to kvůli tomu, že je rodiče krmí potravou znečištěnou plasty.
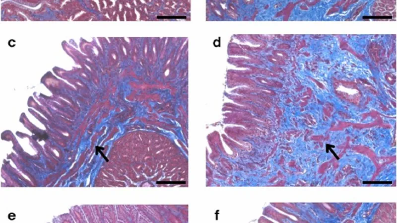
Vědci zjistili, že když ptáci polykají malé kousky plastů, vzniká jim zánět v trávicím traktu. Časem tento chronický zánět vede ke zjizvení a deformaci tkání, což se pak podepíše na tom, jak ptáci tráví potravu, rostou a jakou mají šanci na přežití. Přírodní materiály jako třeba kousky pemzy ptákům tyto problémy nezpůsobují.
Jizvy v žaludku
Vědci se zaměřili na buřňáky světlonohé žijící na australském Ostrově lorda Howea v jižním Pacifiku a zjišťovali souvislost mezi množstvím spolykaného plastu a stavem první části ptačího žaludku, proventrikulu.
Zjistili, že čím více plastů do sebe ptáci dostali, tím zjizvenější tkáň byla. Plastikóza může vést k postupnému poškození žláz v proventrikulu a ptáci mohou být v důsledku toho náchylnější k infekcím, parazitárním onemocněním a může se jim zhoršit schopnost trávit potravu a vstřebávat některé vitamíny.
Vědci záměrně pojmenovali onemocnění plastikóza, aby bylo jasné, že ho způsobuje umělá hmota nacházející se v přirozeném prostředí ptáků.
Podle portálu německého deníku Frankfurter Allgemeine Zeitung upozornil Alex Bond z Přírodovědného muzea, že je možné, že plastikózou trpí i jiné živočišné druhy a nevylučuje, že polykání částic plastu může mít dopad i na zdraví člověka.









