Náboženské a spirituální zážitky aktivují v mozku centra odměny podobně jako láska, sex, hry nebo hudba. Popsali to vědci z lékařské fakulty University of Utah v říjnovém čísle časopisu Social Neuroscience.
„Teprve nyní začínáme chápat, jak se mozek podílí na zkušenostech, které si věřící vykládají jako spirituální, božské nebo transcendentální,“ uvedl jeden z autorů studie, neurolog Jeff Anderson. „V posledních několika letech se technologie na zobrazování mozku natolik zlepšily, že se konečně můžeme postavit otázkám, které tu byly po tisíciletí.“
Vědci zkoumali, jak se náboženské zážitky projevují u jedné náboženské skupiny – u mormonů. Neurologové je vystavili prostředí, které v pokusných subjektech vystavilo silnému pocitu spirituality. Pro mormony je pocit blízkosti k Bohu nesmírně důležitou součástí jejich víry, chápou ji jako potvrzení svých náboženských předpokladů. A také ji vnímají jako hlavní způsob komunikace s božským principem.
Testováno bylo 19 mladých členů této církve, sedm dívek a 12 mladíků. Museli splnit čtyři úkoly, které v nich měly vyvolat náboženské pocity. Vědci přitom sledovali jejich mozky pomocí nukleární magnetické rezonance. Hodinová zkouška se skládala ze šesti minut odpočinku, šesti minut sledování videa o mormonech, osmi minut poslechu náboženských textů, osmi minut aktivního čtení náboženských knih, 12 minut sledování videa se zvukem (především biblické scény a scény z rodinného videa členů církve) a nakonec dalších osmi minut citací. Během úkolů museli odpovídat na otázku, zda cítí blízkost Boha.
Fyzické projevy víry jsou měřitelné
V drtivé většině dotazovaní mormoni odpovídali, že emocionální vazbu cítí – a potvrzovalo to i jejich chování, celá řada jich na konci experimentu skončila v slzách. „Když měli naši účastníci pokusu přemýšlet o spasiteli, o tom, že jsou se svou rodinou na věčnosti, o nebeské odměně, jejich těla i mozky fyzicky reagovaly,“ popsal výsledky práce další z vědců Michael Ferguson.
- Církev Ježíše Krista Svatých posledních dnů je největší z mormonských církví, vzešlých z původní organizace Josepha Smithe z roku 1830 v USA. Dnes má přes 15 milionů členů v mnoha zemích světa.
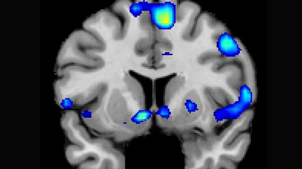
Podle mozkových scanů byly tyto spirituální odezvy spojené s aktivací oblasti mozku nucleus accumbens. Tato oblast hraje důležitou roli v mechanismech odměny, potěšení, smíchu, závislosti, agrese, strachu nebo placebo efektu. K vrcholu aktivity zde docházelo asi 1–3 sekundy předtím, než pokusné osoby stiskly tlačítko; podařilo se to replikovat u všech čtyř úkolů. Další odezva byla vidět také na úrovni orgánů: srdce pokusných osob bilo rychleji a jejich dech se prohluboval.
Kromě oblasti spojené s oblastí odměňování se aktivovaly také části mozku v mediální prefrontální mozkové kůře. To je místo spojené s vyššími mozkovými funkcemi, například s oceňováním, úsudkem a morálním uvažováním. Poslední oblast, která se aktivovala, byla centra soustředění.
„Náboženská zkušenost je zřejmě nejvlivnější částí toho, jak a proč se lidé rozhodují – v dobrém i zlém. Porozumět tomu, co se během nich děje v mozku, je opravdu důležité,“ tvrdí Anderson.
Zatím si ale vědecký tým netroufá tvrdit, zda se dají výsledky zjištěné u mormonů přenášet i na další náboženské skupiny. Je možné, že náboženské zážitky mají u různých skupin odlišnou podobu, některé předchozí studie naznačují, že východní neženská zkušenost aktivuje poněkud odlišné části mozku. Neurověda má ovšem doposud příliš málo poznatků na to, aby se z toho daly odvozovat nějaké výsledky.








