Kusy mumifikovaných nohou z Egyptského muzea v italském městě Turín patří skutečně staroegyptské královně Nefertari. Potvrdili to podle agentury ANSA archeologové z mezinárodního týmu v čele s vědci z Yorkské univerzity v Británii.
Nefertari byla ženou jednoho z nejslavnějších staroegyptských panovníků Ramesse II., který vládl v letech 1279–1213 před naším letopočtem. Její vyloupenou hrobku, včetně zmíněných ostatků, objevil v roce 1904 italský archeolog Ernesto Schiaparelli.
I když nohy byly nalezeny v královnině hrobce, nebylo možné automaticky předpokládat, že patřily Nefertari, řekla americkému tisku Joann Fletcherová, egyptoložka z Yorské univerzity. „Nohy se mohly do hrobky dostat později při bleskových záplavách, které se v této části Egypta stávají,“ dodala.
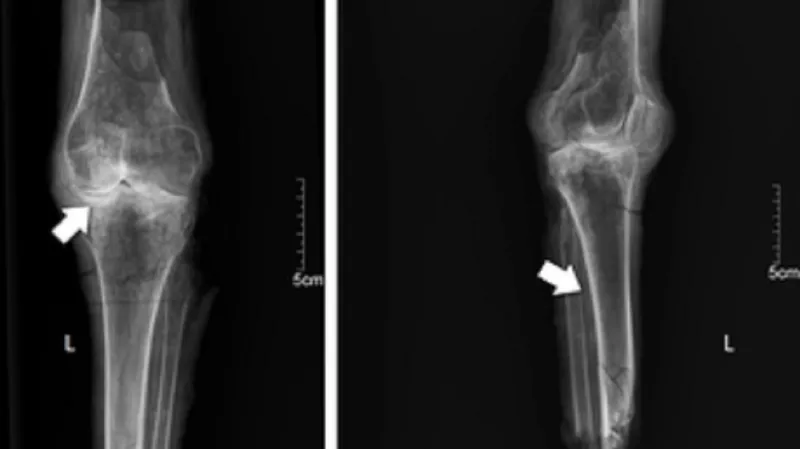
Rentgenové snímky potvrdily, že nohy patřily vysoké ženě
Vědci nohy podrobně prozkoumali pod rentgenem. Zjistili, že pocházejí ze stejného těla a patří osobě, která zemřela podobně jako Nefertari ve věku kolem 40 let. Vzhledem k tenkosti kostí usoudili, že šlo o vysoce postavenou osobu. Spočítali také, že ona osoba byla vyšší, než bylo v té době obvyklé. Urostlá byla podle dochovaných nástěnných maleb i Nefertari.
- Obě egyptské královny si někdy laici pletou. Neferneferuaton Nefertiti byla staroegyptská královna 18. dynastie v době Nové říše, velká královská manželka faraona Achnatona. Její jméno se stalo synonymem krásy.
Testy DNA byly sice nepřesvědčivé, ale chemická analýza balzamovacích látek ukázala na přítomnost živočišného tuku a další látky, což odpovídá způsobům balzamování v době Ramesse II. „Tělo bylo nabalzamováno za pomoci těch nejdražších ingrediencí. Velmi pečlivě bylo zabaleno, pozornost byla věnována i detailům,“ řekla Fletcherová.
Mumii královny, proslulé svou krásou, podle ní nejspíš ve snaze sebrat případné schované cennosti roztrhali zloději.
Pravděpodobnost, že nohy patří Nefertari, je velmi vysoká, ale stoprocentní jistotu nebude mít lidstvo nikdy, uvedli vědci v odborném časopise Plos One.
Kdo byla Nefertari
Nefertari byla královna ve starověkém Egyptě 19. dynastie v době Nové říše, „velká královská manželka“ panovníka Ramesse II. Zaujímala významné postavení a zjevně byla odlišována od ostatních králových manželek. Od prvního roku vlády doprovázela krále při všech státních a náboženských příležitostech, později vedla vlastní diplomatickou korespondenci s chetitskou královnou Puduchepou.
Ještě za jejího života jí byl zasvěcen menší ze dvou chrámů vybudovaný Ramessem II. v Abú Simbelu, v němž byla uctívána spolu s bohyní Hathorou. Zemřela přibližně ve 26. roce vlády svého manžela. Ramesse II., který díky své dlouhověkosti svoji milovanou choť o mnoho let přežil, myslel také na manželčin posmrtný život a investoval mnoho úsilí do stavby její velkolepé hrobky. Ta je největší a zároveň nejnákladnější v celém Údolí královen (dříve se mu také říkalo „Místo krásek“). Třebaže je vykradena už ve starověku, na jejích stěnách jsou zachovány fascinující malby znázorňující královninu cestu k posmrtnému životu. Ze samotné pohřební výbavy zbývají jen úlomky zlata a třísky z rakve. (wiki)









