Architektura ženského mozku se v době těhotenství nápadně změní, dokládá první vědecká studie, která se tomuto tématu věnuje. Vědci současně přišli s důkazem, že tyto změny zůstanou v ženském mozku přítomné po dobu nejméně dvou let.
Nejvíce se tyto změny projevují v oblasti šedé hmoty mozkové; zmenšuje se v oblastech zpracování sociálních signálů a reakcí na ně. To podle autorů práce znamená, že mozky matek jsou mnohem více specializované pro potřeby jejich dětí – například v rozeznávání potenciálních hrozeb. Studie také dokazuje, že v tomto ohledu je zcela jedno, zda matky počaly přirozeně anebo umělým oplodněním.
„Rozhodně bychom tím neradi vyslali zprávu, že těhotenství vás připraví o mozek,“ uvedla pro Sciencemag hlavní autorka práce Elseline Hoekzemaová, neurovědkyně na nizozemské univerzitě v Leidenu a současně těhotná matka dvouletého dítěte. „Úbytek objemu šedé hmoty může totiž znamenat také pozitivní změny dospívání nebo specializace.“
Těhotenství je období, které mění všechno
Práce, která vyšla 19. prosince 2016 v odborném časopise Nature Neuroscience, dokazuje, jak komplikované a doposud málo pochopené období je těhotenství. V celém těle během něj dochází k obrovskému množství změn: objem krve, úroveň hormonů, hospodaření s energií – to vše se mění. Již delší dobu víme, že se mění také psychické procesy, například zapomnětlivost nebo snížená schopnost koncentrace. U zvířat již vědci fyziologické změny na mozku pozorovali, u lidí doposud ne.
Proč je mozek tak složitý? Podívejte se na rozhovor:
- Šedá hmota je část centrální nervové soustavy savců sestávající z velkého množství nervových buněk. Název získala díky šedé barvě. Má jen velmi nízký obsah tuků. V míše je šedá hmota uložená centrálně, v mozku tvoří kortex, bazální ganglia a jádra mozkového kmene vnořené do bílé hmoty.
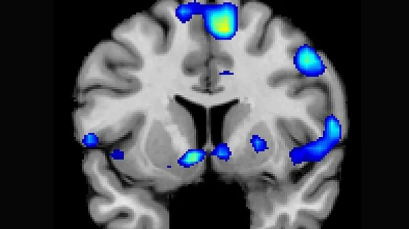
Hoekzemaová a její tým studují změny mozku u žen ve Španělsku pomocí magnetické resonance. Testovali mozky 25 žen, které ještě nikdy neměly děti předtím, než otěhotněly – a pak znovu až do několika měsíců po porodu. Také skenovali mozky otců, a to ve stejných intervalech jako ženy; v kontrolní skupině bylo 17 mužů a 20 žen, kteří během výzkumu neměli děti. Pomocí počítačové analýzy pak data analyzovali, aby zaznamenali rozdíl v šedé hmotě mozkové.
Jak je vidět, skupina osob, na níž výzkum probíhal, je poměrně malá, vynahrazuje to komplexnost výzkumu. Jediná skupina, u níž se projevoval dlouhodobý úbytek šedé hmoty, byly právě matky. Úbytek se projevil nejvíce v oblastech mozku, které jsou zapojené do řešení sociálních problémů – jako je například odhadování přání a záměrů ostatních podle jejich mimiky a chování. Objem ztratila také oblast hipokampu, která je zodpovědná za paměť a vzpomínky. Současně vědci zaznamenali, že výsledky matek v testech, které měří míru pozornosti vůči jejich dítěti, se daly předpovědět podle toho, o kolik mozkové hmoty přišly.
Některé změny jsou zřejmě nevratné, jiné tělo opraví
Vědci sledovali mozek on-line pomocí magnetické resonance, kdy se matky dívaly na fotografie jejich dětí a snímky cizích potomků. Mnoho oblastí mozku, které přišly o šedou hmotu během těhotenství, na fotografie vlastních dětí reagovaly nejsilnější aktivitou – zato na ostatní kojence nereagovaly téměř vůbec.
O dva roky později se vrátilo 11 matek z 25 (tedy ty, které znovu neotěhotněly) na scanování znovu. Výsledky byly u všech totožné: šedá hmota mozková se už neobnovila, s výjimkou hipokampu, jenž se naopak vrátil do původního objemu. Tyto změny byly natolik pravidelné, že počítačový algoritmus pak podle mozkového scanu dokázal předpovídat se 100procentní úspěšností, zda už žena byla těhotná.
V mozku jsou vědci schopní už změřit i to, kdy se člověk věnuje úvahám o Bohu:
Výzkum je zcela nový a doposud jedinečný, vědci tedy zatím nejsou schopní přesně říci, co jejich objev znamená. Nemohou totiž ženský mozek zkoumat stejnými metodami, jaké se využívají pro rozbor mozku pokusných potkanů – tedy pitvání. Mohou tedy jen spekulovat; úbytek šedé hmoty by podle nich mohl být pokusem o získání výhody. Podobný úbytek mozkové hmoty se totiž objevuje také během období adolescence, kdy se mozek specializuje a vyvíjí si přesnější funkce – během toho ale samozřejmě musí některé méně specializované oblasti omezit.
Mozky otců se během studie v žádné ze zkoumaných oblastí nijak nezměnily. To zřejmě vylučuje, že by změny mohly být způsobeny stresem nebo nedostatkem spánku, který se u nových rodičů vždy zákonitě projevuje.







